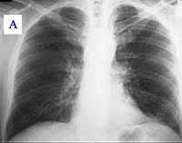
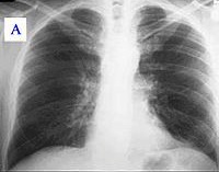
Osakidetzak ez du Q sukarra kasurik atzeman Markina-Xemeinen
Azken orduetan komunikabide batzuen bidez zabaldu denaren kontra, eta Osakidetzak Udalari ziurtatu dionez, Markina-Xemeinen ez da Q sukarra kasurik atzeman. Osakidetzak Udalari esan dionez, neumonia kasu batzuk bai egon dira, baina Q sukarra diagnostikatu dioten inor ez dago Markina-Xemeinen. Beste alde batetik, Osakidetzak lasaitasun mezua igorri dio Udalari, esanez Q sukarraren kutsaketa ez dela kezkagarria, eta urtero egon ohi direla Q sukarradun kasuak ganaduzaleen artean. Dena dela, Osakidetza neumonia kasuak aztertzen ari da.
